包西图
首页
自然风景
花卉图片
美食图片
城市风景
手抄报
头像
首页
>
其他类别
> 腺癌10张
自然风光
运动体育
植物花卉
节日图片
人物图片
健康疾病
美食世界
其他类别
物品物件
装饰装修
设计素材
建筑环境
广告设计
艺术绘画
城市旅游
海洋世界
动物图片
交通运输
美女图片
动漫影视
游戏图片
头像
手抄报
腺癌(10)张
猫扑风铃
上传
/本图集共有 10 张图片
介绍
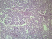
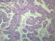
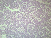
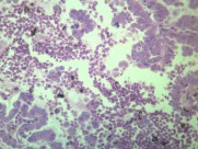
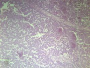
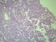
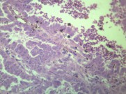
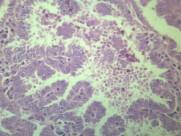
腺癌(adenocarcinoma)为涎腺上皮发生的恶性肿瘤,结构不一,但没有残留的多形性腺瘤的成分。腺癌占涎腺上皮性肿瘤的9%,属于涎腺恶性肿瘤中恶性程度较高的一种。
腺癌
腺癌
腺癌
腺癌
腺癌
腺癌
腺癌
腺癌
腺癌
腺癌
相关的图集...
腺癌肝转移大全
所属小分类
医学
显微切片
肿瘤
腺癌
adenocarcinoma
热门的小分类
高冷霸气情侣头像
头像男动漫冷酷帅气高清
漫画帅气头像男生霸气冷酷
头像40岁左右的女
头像真人女ins高级质感
微信头像2025最火爆男
头像2025情头
2025年新款头像
2025最火头像
可爱的群头像
最近更新:
马的剪影与插画图片
美丽的夕阳景色图片
著名的庭园花木之丁香图片
广州南埔海滨花园雅居设计图片
香肠高清图片
黄昏时天边的云彩图片
青海湖日出风光图片
美味的狮子鱼图片
女性空白告示图片
唯美海滩风景图片