首页 > 其他类别 > 风湿性心肌炎12张

风湿性心肌炎(12)张

猫扑风铃 上传 /本图集共有 12 张图片
介绍

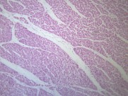
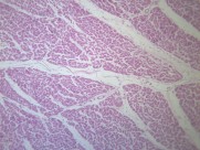
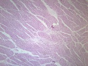
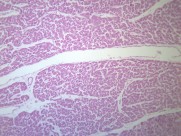
心肌炎指心肌中有局限性或弥漫性的急性、亚急性或慢性的炎性病变。近年来病毒性心肌炎的相对发病率不断增加。病情轻重不同,表现差异很大,婴幼儿病情多较重,成年人多较轻,轻者可无明显病状,重者可并发严重心律失常,心功能不全甚至猝死。急性期或亚急性期心肌炎病的前驱症状,病人可有发热、疲乏、多汗、心慌、气急、心前区闷痛等。检查可见期前收缩、传导阻滞等心律失常。谷草转氨酶、肌酸磷酸激酶增高,血沉增快。心电图、X线检查有助于诊断。治疗包括静养,改进心肌营养、控制心功能不全与纠正心律失常,防止继发感染等。

相关的图集...
最近更新: 法国巴黎凯旋门图片大全 变魔术的男人图片大全 女性酒店度假图片大全 精致小巧的闹钟图片大全 夏威夷冲浪图片大全 湖北武汉建筑风景图片大全 上海陆家嘴风景图片大全 南汇嘴观海公园风景图片大全 新年烟火图片大全 基尔丘山美景图片大全