包西图
首页
自然风景
花卉图片
美食图片
城市风景
手抄报
头像
首页
>
其他类别
>
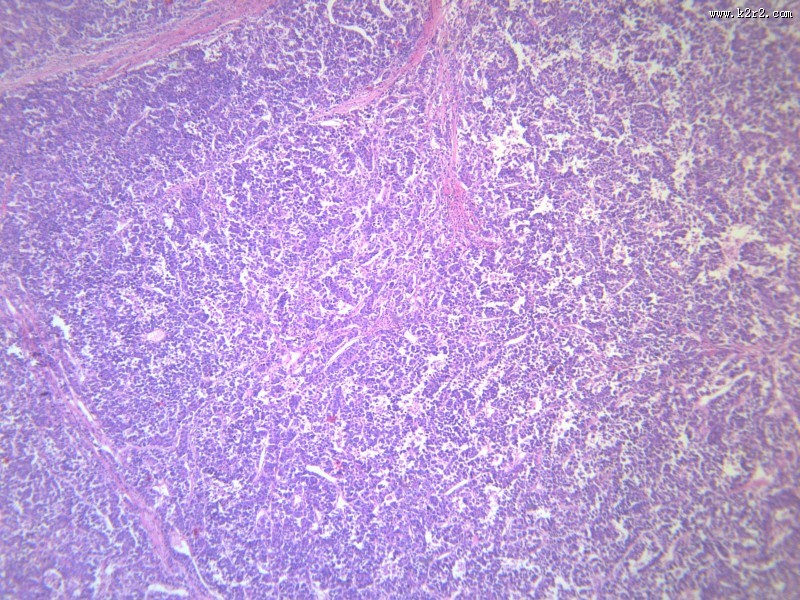
淋巴结内转移癌(12张)
> 淋巴结内转移癌 第5张
自然风光
运动体育
植物花卉
节日图片
人物图片
健康疾病
美食世界
其他类别
物品物件
装饰装修
设计素材
建筑环境
广告设计
艺术绘画
城市旅游
海洋世界
动物图片
交通运输
美女图片
动漫影视
游戏图片
头像
手抄报
淋巴结内转移癌 - 第5张
第 5 / 12 张
一夕一夏
上传
到
淋巴结内转移癌
图集中 / 共有 12 张图片
这些是相关的图集...
腺癌肝转移大全
所属小分类
医学
显微切片
淋巴结内转移癌
癌症
热门的小分类
高冷霸气情侣头像
头像男动漫冷酷帅气高清
漫画帅气头像男生霸气冷酷
头像40岁左右的女
头像真人女ins高级质感
微信头像2025最火爆男
头像2025情头
2025年新款头像
2025最火头像
可爱的群头像
最近更新:
辽宁本溪关门山水库风景图片大全
棘皮动物海星图片大全
擅长奔跑的鸵鸟图片大全
绿色蜥蜴图片大全
虎刺梅图片大全
明信片背景图片大全
蔚蓝的大海图片大全
运动器械图片大全
美丽的星空银河图片大全
桥梁图片大全