首页 > 其他类别 > 慢性支气管炎12张

慢性支气管炎(12)张

猫扑风铃 上传 /本图集共有 12 张图片
介绍

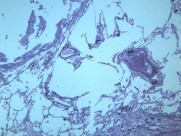
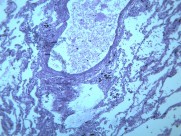
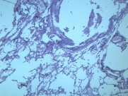
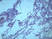
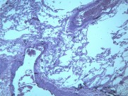
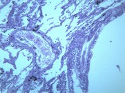
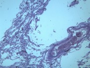
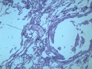
慢性支气管炎(chronic bronchitis)是由于感染或非感染因素引起气管、支气管粘膜及其周围组织的慢性非特异性炎症。其病理特点是支气管腺体增生、粘液分泌增多。临床出现有连续两年以上,每持续三个月以上的咳嗽、咳痰或气喘等症状。早期症状轻微,多在冬季发作,春暖后缓解;晚期炎症加重,症状长年存在,不分季节。疾病进展又可并发阻塞性肺气肿、肺源性心脏病,严重影响劳动力和健康。

相关的图集...
最近更新: 姐妹情深图片 绿色的叶子素材图片 新鲜的鸡蛋特写图片 紫藤花高清图片 蓝矶鸫图片 快乐圣诞节背景图片 骨牌牌九图片 美国纽约的街道图片 毛绒绒的飞蛾图片 圆蛛图片