首页 > 其他类别 > 慢性萎缩性胃炎大全12张

慢性萎缩性胃炎大全(12)张

猫扑风铃 上传 /本图集共有 12 张图片
介绍

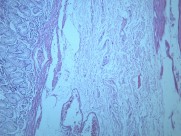
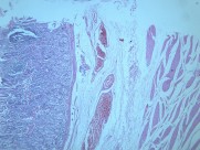
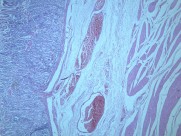
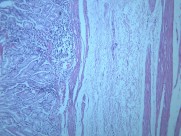
本病以胃粘膜萎缩变薄,粘膜腺体减少或消失,并伴有肠上皮化生,固有膜内多量淋巴细胞、浆细胞浸润为特点。本性胃炎的病因比较复杂,部分可能与吸烟酗酒和用药不量有关,部分由慢性浅表性胃炎迁移发展而来,还有部分属兔自身免疫疾病。

相关的图集...
最近更新: 埃及金字塔图片 雄壮的母狮图片 美丽的极光图片 可爱彩色小瓢虫图片 美国旧金山金门大桥风景图片 贝壳图片 唯美的日出风景图片 云南玉龙雪山自然风景图片 野生大象图片 红点颏图片