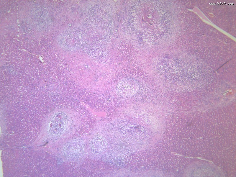
首页 > 其他类别 > 虫卵肉芽肿(12张) > 虫卵肉芽肿 第2张

虫卵肉芽肿 - 第2张

第 2 / 12 张
一夕一夏上传虫卵肉芽肿 图集中 / 共有 12 张图片
最近更新: 初一朝花夕拾手抄报图片 艾青诗选手抄报图片 环保主题手抄报图片 创建文明城市手抄报图片 民族大团结的手抄报图片 白露手抄报图片大全 关于秋天的手抄报图片 秋天来了手抄报图片 科技手抄报简单又漂亮图片 交通手抄报大全图片