首页 > 其他类别 > 虫卵肉芽肿12张

虫卵肉芽肿(12)张

一夕一夏 上传 /本图集共有 12 张图片
介绍

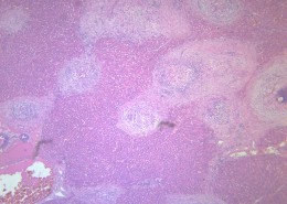
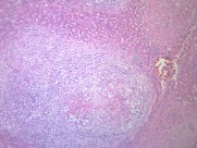
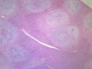
虫卵肉芽肿:虫卵是血吸虫病的主要致病因子。虫卵主要沉着在宿主的肝以及结肠肠壁等部位,所引起的虫卵肉芽肿以及之后的纤维化是血吸虫病的主要病变。

最近更新: 北京紫竹院公园风景图片 3D创意线条设计背景图片 十字架高清图片 锈迹斑斑废旧的铁皮图片 中国传统文化海报图片 工程图纸绘制图片 巴尔斯东京总部(BALS 健身球运动图片 梅龙镇会所图片 桥本关雪绘画系列一图片