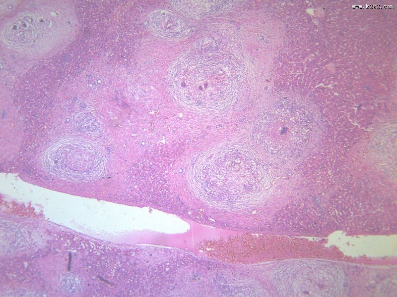
首页 > 其他类别 > 虫卵肉芽肿(12张) > 虫卵肉芽肿 第7张

虫卵肉芽肿 - 第7张

第 7 / 12 张
一夕一夏上传虫卵肉芽肿 图集中 / 共有 12 张图片
最近更新: 创建文明城市手抄报图片 民族大团结的手抄报图片 白露手抄报图片大全 关于秋天的手抄报图片 秋天来了手抄报图片 科技手抄报简单又漂亮图片 交通手抄报大全图片 汉字手抄报简单又漂亮图片 好书推荐手抄报图片 七年级手抄报大全图片