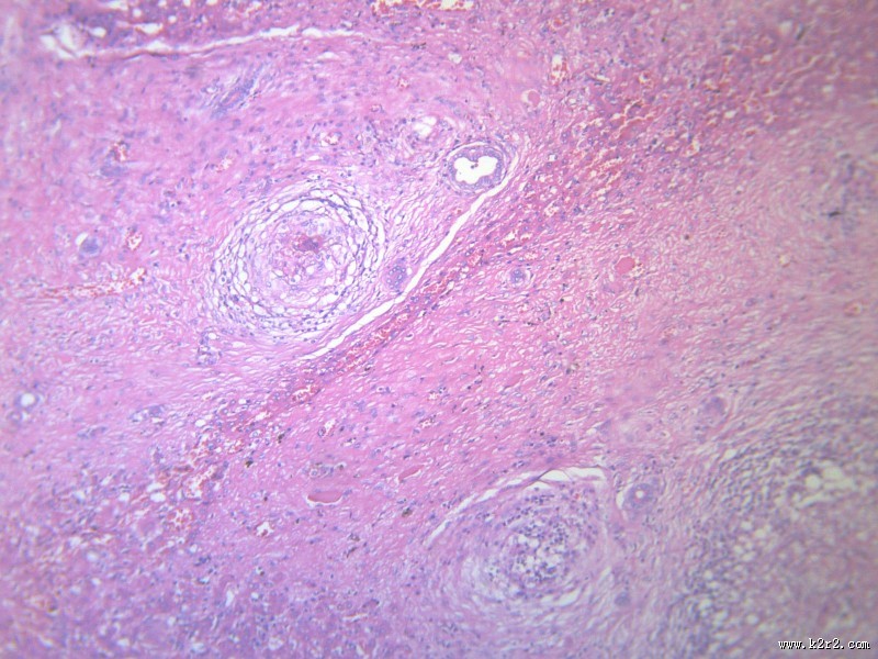
首页 > 其他类别 > 虫卵肉芽肿(12张) > 虫卵肉芽肿 第9张

虫卵肉芽肿 - 第9张

第 9 / 12 张
一夕一夏上传虫卵肉芽肿 图集中 / 共有 12 张图片
最近更新: 强壮的野外老虎图片 桌子上摆放的鲜花图片 酸甜可口的橘子图片 彩色乳液图片 绿色贴梗海棠图片 北京巍峨雄伟的长城风景图片 一杯香浓的咖啡拉花图片 新疆塔里木沙漠公路旁的胡杨树图片 金钱类创意图片 无人的沙漠图片