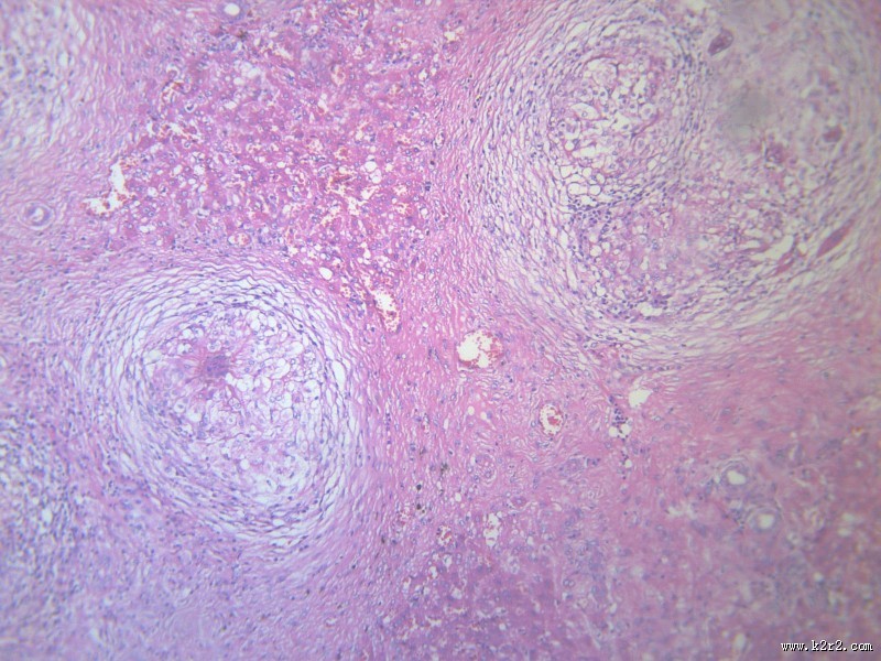
首页 > 其他类别 > 虫卵肉芽肿(12张) > 虫卵肉芽肿 第11张

虫卵肉芽肿 - 第11张

第 11 / 12 张
猫扑风铃上传虫卵肉芽肿 图集中 / 共有 12 张图片
最近更新: 云南和顺古镇风景图片 沉稳企业画册图片 新疆安集海大峡谷风景图片 川流不息的车辆图片 戴胜鸟盼亲归图片 在游泳池里游泳的人图片 儿童幻想飞行员航空梦想家图片 海边的海上运动图片 加拿大国旗图片 郁郁葱葱的竹林图片