首页 > 其他类别 > 肺水肿12张

肺水肿(12)张

一夕一夏 上传 /本图集共有 12 张图片
介绍

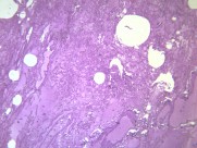
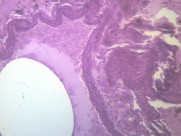
肺水肿(pulmonaryedema)是肺脏内血管与组织之间液体交换功能紊乱所致的肺含水量增加本病可严重影响呼吸功能,是临床上较常见的急性呼吸衰竭的病因。主要临床表现为极度呼吸困难,端坐呼吸,紫绀,大汗淋漓,阵发性咳嗽伴大量白色或粉红色泡沫痰,双肺布满对称性湿啰音,X线胸片可见两肺蝶形片状模糊阴影,晚期可出现休克甚至死亡。动脉血气分析早期可有低O2、低CO2分压、严重缺O2、CO2 潴留及混合性酸中毒。

相关的图集...
最近更新: 女士高跟鞋图片 英国阿伯丁的城堡图片 蓝色大自然风景图片 GOHAN,Machida-深田恭通作品图片 家居卫生间设计图片 黄色玫瑰花束图片 漂亮的别墅图片 精致的红酒杯图片 化验实验试管烧杯图片 夕阳下的马路图片