首页 > 其他类别 > 肾小管水肿11张

肾小管水肿(11)张

猫扑风铃 上传 /本图集共有 11 张图片
介绍

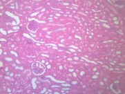
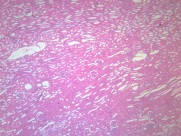
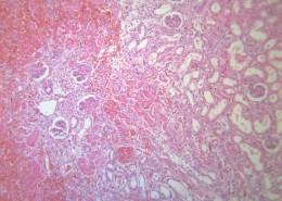
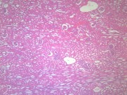
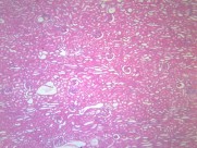
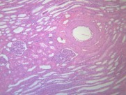
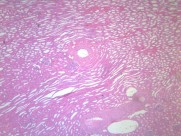
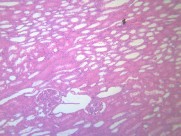
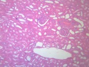
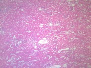
肾小管renal tubule 与肾小囊壁层相连的一条细长上皮性小管,具有重吸收(reabsorption)和排泌作用(secretion).肾小管按不同的形态结构,分布位置和功能分成三部分;近端小管,细段和远端小管。肾小管在肾髓质中。

相关的图集...
最近更新: 金黄色的装饰南瓜图片 打开的窗户图片 喜马拉雅山图片 毛里求斯四季酒店图片 书法对联图片 站着的鸽子图片 形态各异的南瓜图片 高高的建筑大厦图片 屹立的自由女神图片 女孩透明背景PNG图片