首页 > 其他类别 > 肾小管坏死12张

肾小管坏死(12)张

猫扑风铃 上传 /本图集共有 12 张图片
介绍

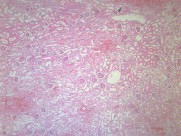
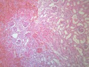
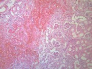
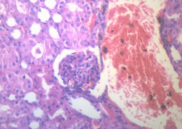
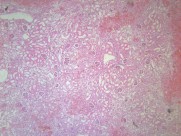
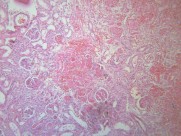
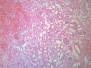
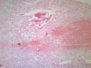
为急肾衰最常见类型,约占75%~80%.它是由于各种病因引起肾缺血及/或肾毒性损害导致肾功能急骤、进行性减退而出现的临床综合征.主要表现为肾小球滤过率明显降低所致的进行性氮质血症,以及肾小管重吸收和排泄功能低下所致的水、电解质和酸碱平衡失调.据尿量减少与否分少尿(无尿)…

相关的图集...
最近更新: 可爱的圣诞节小装饰图片 高尔夫用品特写图片 舒适房间室内设计图片 草地上的骏马图片 优雅的黄色香槟酒图片 泰国峡谷遗址图片 内蒙古乌兰布统敖包吐自然风景图片 阁楼室内装修图片 香飘飘的咖啡图片 中秋美食月饼图片