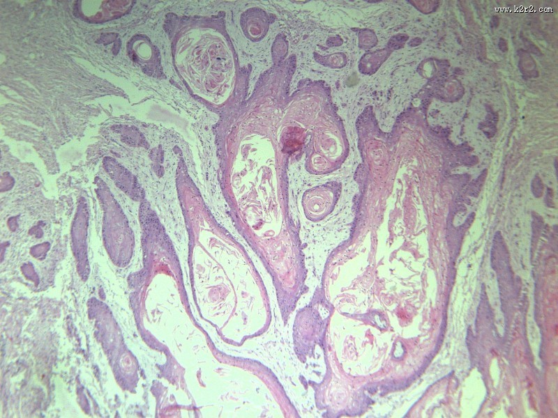
首页 > 其他类别 > 高分化鳞癌(12张) > 高分化鳞癌 第1张

高分化鳞癌 - 第1张

第 1 / 12 张
猫扑风铃上传高分化鳞癌 图集中 / 共有 12 张图片
最近更新: 白色荷花摄影图片 收到圣诞节礼物的男人图片 北京富力湾手绘透视图c1图片 火红的枫叶图片 可爱的雪人风景图片 现代建筑图片 柔软舒适的大床图片 水疗SPA背景图片 盛开的牵牛花图片 圆圆的可爱小闹钟图片