首页 > 其他类别 > 高分化鳞癌12张

高分化鳞癌(12)张

猫扑风铃 上传 /本图集共有 12 张图片
介绍

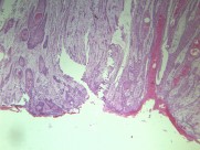
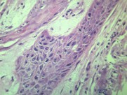
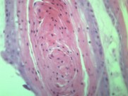
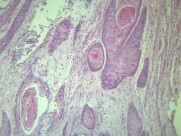
鳞癌是鳞状细胞癌(squamous cell carcinoma)的简称,常发生在身体原有鳞状上皮覆盖的的部位,如皮肤、唇、口腔、食管、喉、子宫颈、阴道、阴茎等处。有些部位如支气管、胆囊、肾盂等处,鳞状细胞癌:高分化,可见角化珠正常时不是由鳞状上皮覆盖,但可通过病理演变鳞状上皮化生…

最近更新: 台北张公馆奢华卧室图片大全 奥地利维也纳美景宫图片大全 拿着冲浪板的青年图片大全 胡志强-奇奥柏查美容美发院装潢设计图片大全 内蒙古呼伦贝尔风景图片大全 秋天如金色蝴蝶的银杏叶图片大全 饱满的玉米图片大全 高雅的海棠花图片大全 美味的胡萝卜图片大全 福建杨家溪晨雾风景图片大全