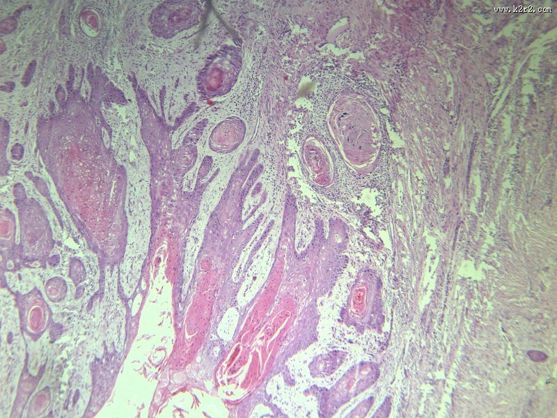
首页 > 其他类别 > 高分化鳞癌(12张) > 高分化鳞癌 第10张

高分化鳞癌 - 第10张

第 10 / 12 张
一夕一夏上传高分化鳞癌 图集中 / 共有 12 张图片
最近更新: 高贵牡丹花图片 火凤凰卡通图案图片 世界杯足球场高清图片 世界杯百度足球宝贝赛程图片 女性跑步运动图片 2014巴西世界杯吉祥物图片 花间枝头上的小鸟图片 柠檬水果高清图片 战争前线游戏图片 魔域游戏长腿美女团图片