首页 > 其他类别 > 畸胎瘤12张

畸胎瘤(12)张

一夕一夏 上传 /本图集共有 12 张图片
介绍

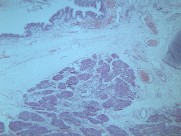
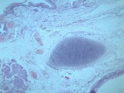
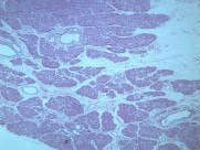
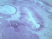
一般认为畸胎瘤多系个体发育初期,部分多能性原始细胞迷离出来,在纵隔内增殖发展成肿瘤。这类肿瘤以良性畸胎瘤多见。常位于前纵隔。畸胎瘤多为实质性,可同时存在大小不等的囊腔,内含外、中或内胚层组织的衍生物如毛发、牙齿、软骨、平滑肌、支气管或肠壁等。部分畸胎瘤可以恶变。由未分化成熟组织构成的畸胎瘤属恶性,呈浸润性生长。畸胎瘤与邻近组织粘连或穿破入邻近脏器如肺、支气管,病人可咳出毛发或皮脂样物。皮样囊肿是一种单房或多房薄壁囊肿,因囊内多衬以鳞状上皮及其附属物而得名。囊内有结节状物、毛发及皮脂类物。

最近更新: 奇形怪状的小石头图片 日本大沼国定公园风景图片 新疆白哈巴村风景图片 好吃好看的水果月饼图片 砖墙墙面图片 新疆夏塔风景图片 秋天的草垛图片 吉林金蟾岛风景图片 障碍训练场地图片 游乐场旋转木马复古油画图片