包西图
首页
自然风景
花卉图片
美食图片
城市风景
手抄报
头像
首页
>
其他类别
>
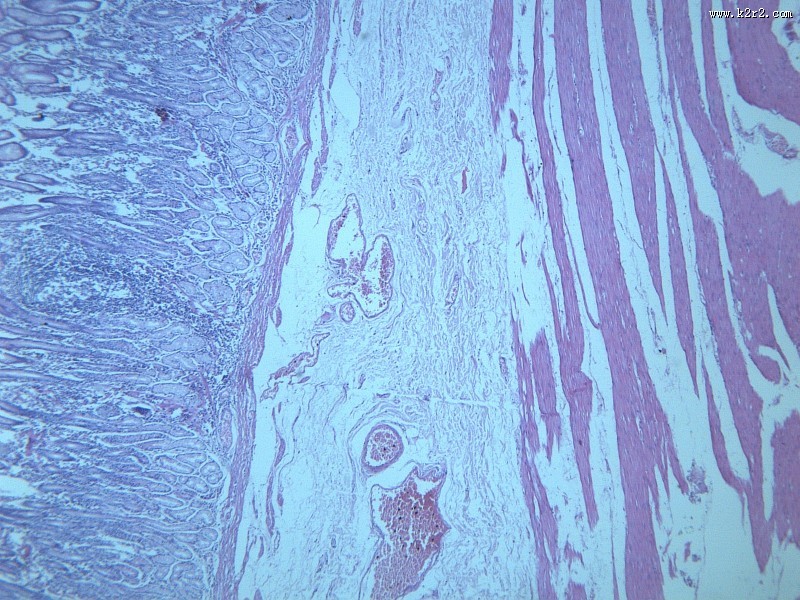
慢性萎缩性胃炎大全(12张)
> 慢性萎缩性胃炎大全 第7张
自然风光
运动体育
植物花卉
节日图片
人物图片
健康疾病
美食世界
其他类别
物品物件
装饰装修
设计素材
建筑环境
广告设计
艺术绘画
城市旅游
海洋世界
动物图片
交通运输
美女图片
动漫影视
游戏图片
头像
手抄报
慢性萎缩性胃炎大全 - 第7张
第 7 / 12 张
猫扑风铃
上传
到
慢性萎缩性胃炎大全
图集中 / 共有 12 张图片
这些是相关的图集...
慢性支气管炎
所属小分类
医学
显微切片
chronic atrophic gastritis
慢性萎缩性胃炎
消化道疾病
热门的小分类
高冷霸气情侣头像
头像男动漫冷酷帅气高清
漫画帅气头像男生霸气冷酷
头像40岁左右的女
头像真人女ins高级质感
微信头像2025最火爆男
头像2025情头
2025年新款头像
2025最火头像
可爱的群头像
最近更新:
水滴图片
夕阳图片
清香可口的蓝莓图片
文艺复兴期间油画作品图片
储蓄罐和货币图片
成都香格里拉大酒店外观图片
新猫女安妮海瑟薇图片
河北张北草原风景图片
新加坡香格里拉大酒店会议厅图片
清脆爽口的新鲜冬枣图片