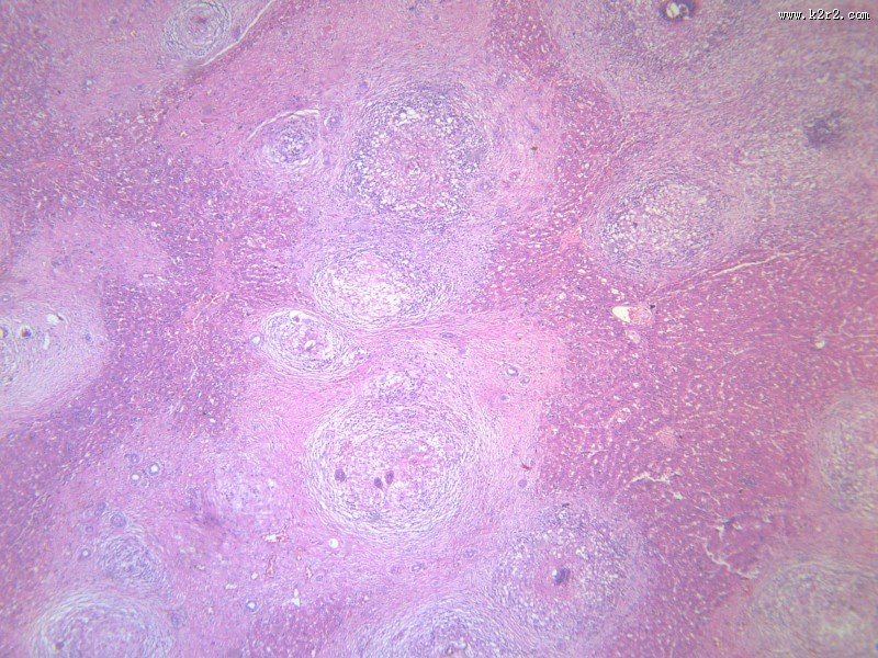
首页 > 其他类别 > 虫卵肉芽肿(12张) > 虫卵肉芽肿 第6张

虫卵肉芽肿 - 第6张

第 6 / 12 张
猫扑风铃上传虫卵肉芽肿 图集中 / 共有 12 张图片
最近更新: 网球特写图片 云南梅里雪山风景图片 家具模型图片 手工制作水饺图片 酸甜可口的新鲜番茄图片 雅加达香格里拉饭店客房图片 好看又美味的马卡龙图片 河北沽源风景图片 春节喜庆灯笼图片 人物背影的图片